手指骨折“久拖僵硬”,晋城大医院定制支架巧化解
发布时间:2026/04/13 17:24发表于:山西晋城

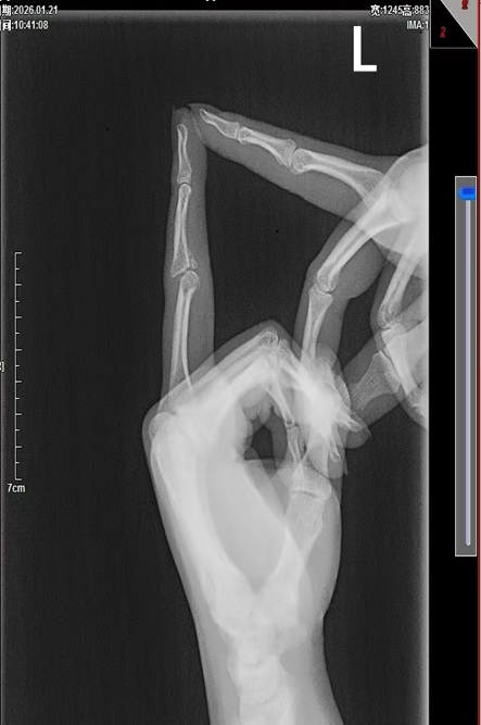
近日,晋城大医院骨科成功为一名环指PIP关节陈旧性骨折脱位伴严重关节僵硬患者实施自制弹性外固定架治疗,患者手指关节对位恢复良好,屈伸功能显著改善,顺利回归正常生活。

该患者因外伤导致环指PIP关节骨折,伤后自行使用手指夹板固定,保守治疗长达3个月,最终出现手指严重僵硬,关节活动受限,严重影响生活质量。曾于当地医院就诊,进行康复治疗后,活动度不仅没有好转,还发现近指间关节向背侧脱位,患者多方求医后来到我院就诊,手足及显微外科宋俊杰主任团队详细查体、评估影像学资料后,确诊为环指PIP关节陈旧性骨折脱位合并关节僵硬。


针对患者病史长、关节僵硬重、开放性手术创伤大,效果不确切,宋俊杰主任团队经过周密讨论,决定采用自制弹性外固定架进行治疗。

该固定架兼具稳定支撑与弹性微动特点,在有效复位、维持关节对位的同时,可逐步牵拉松解粘连软组织,实现“边固定、边锻炼、边恢复”,避免传统硬固定带来的二次僵硬,尤其适用于陈旧性关节损伤恢复期治疗。


经过规范治疗与系统康复指导,患者手指PIP关节对位良好,僵硬症状快速缓解,手指屈伸幅度、抓握力量均得到明显提升,原本受限的日常生活功能全面恢复。患者对治疗效果高度认可,专程对骨科团队的精湛技术表示感谢。
此次成功救治,充分展现了进场晋城大医院骨科在手足创伤、陈旧性关节损伤保守治疗领域的技术实力与创新能力。我院骨科将持续深耕临床技术优化,以微创、有效、个性化的治疗方案,为广大骨关节损伤患者提供更优质、更精准的医疗服务。
(供稿:手足及显微外科 王晋豫)
阅读次数:







