患癌五年终迎曙光!晋城大医院的专业与温暖让他与癌症“和解”

一个普通的冬日,命运的齿轮开始无情转动,王先生不幸患癌……五年后,又一个普通的冬日,在晋城大医院,王先生与癌症“和解”。
一、命运的齿轮开始无情转动
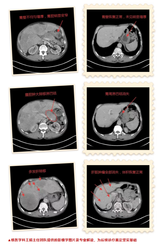
2020年10月,66岁的王先生因反复腹痛和消瘦前往晋城大医院就诊。完善CT检查显示:胃壁不均匀增厚,高度怀疑恶性病变;肝脏多发低密度影,提示转移。病理明确诊断为:胃窦低分化腺癌。每一项检查都在宣告着这场抗癌之战的艰难。
面对这场生死考验,肿瘤多学科诊疗(MDT)团队迅速集结,由普通外科、肿瘤科、医学影像科、病理科等专家组成的精锐力量,对王先生的病情展开深入研讨。幸运的是,免疫组化检查的结果,让所有人看到了希望的曙光——这意味着王先生适合接受靶向治疗。经过反复推敲,一套“靶向联合化疗”的个性化治疗方案应运而生。
二、这是医学的胜利,更是生命的奇迹
治疗过程中,王先生先后接受了6周期的靶向联合化疗,随后进入靶向维持治疗阶段。整个治疗过程,王先生未出现明显不良反应,生活质量几乎未受影响,这打破了王先生一家对肿瘤治疗的固有认知。

时间见证奇迹。在医护团队的精心照护与王先生的积极配合下,近期王先生的复查结果让所有人为之振奋:胃壁病灶和肝脏病灶全部消失,王先生的抗癌之路终于迎来了曙光!这不仅是医学的胜利,更是生命的奇迹。
三、感谢的话不止要说五年……
“这五年,感谢医生们的专业治疗,也感谢家人的不离不弃。现在的我,感觉又重新活过来了!”王先生激动地说道。谈及王先生的抗癌之路,肿瘤三科窦云主任说道:“王先生的成功治疗,得益于精准的病情评估、科学的治疗方案,以及患者强大的求生意志。HER-2 阳性的胃癌患者,通过靶向联合化疗,有很大机会获得良好预后。这也提醒广大患者,即便确诊癌症,也不要轻易放弃,规范治疗和个性化方案往往能带来意想不到的效果。”
王先生的故事只是众多抗癌奇迹中的一个缩影,如果您或身边的人正面临肿瘤困扰,请不要放弃希望,晋城大医院一直与您在一起!







